micromaterial processing – with ultra-short pulse laser

Published On: 11.09.2015
micromaterial processing – with ultra-short pulse laser

Same quality in one-third of the processing time.

By choosing the appropriate pulse duration, cycle times in laser micromachining can be reduced by up to 70%.

GL.evo laser machine

To enable a configuration tailored to the respective material, the laser micromachining systems from GFH are not limited in terms of the laser source used.
Source: GFH GmbH

Compared to traditional material removal processes such as milling, turning, and grinding, micromaterial laser processing enables significantly more precise material removal. However, in manufacturing, not only precision plays a crucial role but also cost-effectiveness: the desired material removal should be achieved with minimal time investment, maintain high quality, and be cost-efficient. To achieve this, a material- and application-specific adjustment of the pulse duration is essential, as demonstrated by the experiments of laser processing expert GFH GmbH.

Pulse duration is a key parameter in manufacturing processes. For example, nanosecond pulses (ns) deliver a high removal rate with limited quality since the removal primarily occurs during the melting phase when the material melts due to the laser's prolonged exposure time. With ultra-short pulse laser systems in the picosecond (ps) range, the quality in removal processes has been significantly improved—though at the expense of considerably longer processing times. The advancement of beam sources towards industrially applicable femtosecond (fs) lasers now holds the potential to combine high material removal with good quality. GFH has therefore conducted studies to analyze the efficiency and quality of femtosecond pulses on various materials.

Tests on various materials

Materials For the experiments, different settings of the parameters pulse duration, pulse energy, and repetition rate were considered. The laser source used was an ultrashort pulse laser with a maximum average power of 15 W, capable of generating pulse durations ranging from 240 fs to 10 ps. Samples of stainless steel 1.4301, hard metal VGH2, and ceramic aluminum nitride were processed, from which the material removal rate in mm³ per minute was determined and the quality was assessed under the microscope. The investigation revealed that for stainless steel, a reduction of the pulse duration from 10 ps to 900 fs resulted in a threefold increase in the material removal rate. In contrast, for ceramic (aluminum nitride), an increase in pulse duration from 900 fs to 10 ps led to an enhancement in the material removal rate. This means that for metals and dielectrics, there are different optimal values for pulse duration. By selecting the appropriate duration – 900 fs for metals and 10 ps for dielectrics – cycle times can be reduced by up to 70%.

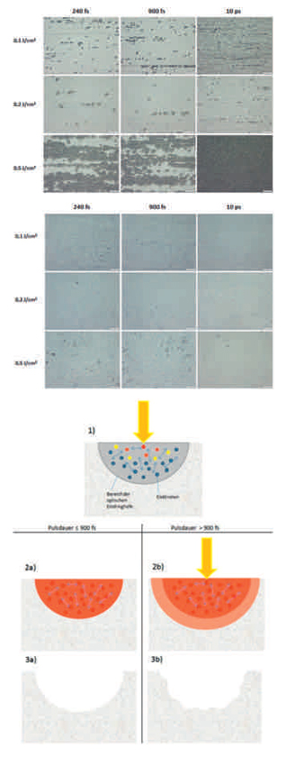
Laser Ablation (Material Removal)

Removal of stainless steel (top), tungsten carbide (middle), and aluminum nitride (bottom) at 1.1 MHz, 20x magnification. The quality of the removal changes little with variations in pulse duration.

Pulse duration has no impact on quality

In addition to the material removal rate, quality and surface structure were also examined, as these factors are crucial for meeting certain functional requirements of the components. The tests investigated the dependency of quality on pulse duration and compared various fluences, i.e., pulse energy per unit area, at a repetition rate of 1.1 MHz. The results showed that the quality remained nearly constant even with varying pulse durations. Only for stainless steel did the surface quality degrade when increasing the pulse duration to 10 ps. Additionally, an increase in fluence resulted in a higher removal rate for all materials tested. However, fluence cannot be chosen arbitrarily high, as quality deteriorates with increasing values. For stainless steel, a fluence of 0.2 J/cm² proved optimal, while for tungsten carbide and aluminum nitride, 0.5 J/cm² was preferred. Another observed effect was that the removal rate increased with the repetition rate for all materials tested. Nevertheless, there is an optimum, as excessively high repetition rates negatively affect quality due to heat accumulation. In the tests, a repetition rate of 1.1 MHz yielded the best results.

Laser Ablation Cross-Section

Choosing the Right Pulse Duration

The influence of pulse duration on the efficiency of laser micromachining arises from the different properties of materials. For metals, the lattice begins to heat up approximately between 900 fs and 1 ps after the laser pulse starts, while before this time, only the electron system is heated. If the pulse duration exceeds 900 fs, the material continues to receive energy from the laser after this time period, even though the lattice is already warm. This results in energy loss to the surrounding material, causing it to melt. In contrast, with shorter pulse durations, the entire energy of the laser pulse is used for material removal because the lattice has not yet warmed up, and only the electron system is heated. The material transitions directly from a solid to a gaseous state without melting. However, if a short pulse duration is used with high fluence, a similar effect to longer pulses can occur, meaning that high energy input also leads to melting of the surrounding material.

For the optimal pulse duration of 10 ps in ceramics, a different effect is responsible: Since no material is removed at low fluences, a higher fluence, meaning more energy, is required for micro material processing. Additionally, ceramics are good heat accumulators, which means that with longer pulses, the material is heated more, and the heat is increased from pulse to pulse.

Choosing the Right Laser Based on Material and Processing Requirements

The investigations with various materials have shown that laser processing can achieve both high efficiency and good quality—provided the optimal pulse duration for the material is selected. Thus, based on the material to be processed and the required outcomes, a rough selection of the suitable laser can be made. Additionally, the studies revealed that a pulse duration shorter than 900 fs is not necessary for any of the materials tested, as the removal rate remains constant. This implies that the process is also cost-effective because longer pulse durations generally correspond to more economical lasers. Furthermore, longer pulse durations are less susceptible to stability issues.